Actualitate
Medic din Craiova, despre formele atipice ale bolii Covid-19: Definiţia de caz folosită în prezent este o aiureală
Doctorul Alexandru Cezar Andriţoiu, de la Spitalul Militar din Craiova cere autorităților să schimbe definiția de caz existent a îmbolnăvirii cu Covid-19, întrucât există forme atipice ale bolii.
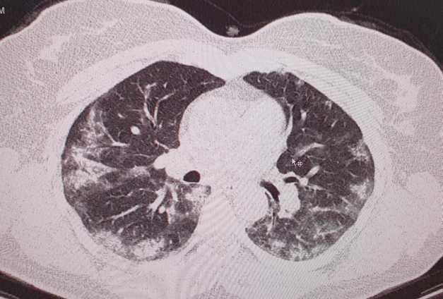
Pentru a demosntra existența formelor atipice ale bolii Covid-19, medicul din Craiova a făcut publice două imagini cu plănânii unei femei infectate cu noul coronavirus, care nu prezenta comorbidități.
Pentru că există forme atipice ale bolii, medicul consideră că ar trebui modificată definiția de caz existent.
„Forme atipice de Covid-19. Toţi medicii care se confruntă cu patologia Covid-19 ar trebui să se gândească la această boală şi în cazul unui pacient cu simptome ,,ciudate” apărute în plină stare de sănătate! Unii mă vor întreba ce înţeleg prin simptome ciudate! Medicii înteleg ce spun! Astăzi am depistat un caz de Covid 19 la o pacientă relativ tânără, fără febră, fără tuse..fără niciun simptom considerat tipic sau sugestiv pentru Covid-19! Faptul ca am folosit ecografia pulmonară ce mi-a relevat modificări sugestive, m-a convins de necesitatea unui examen CT pulmonar. Examinarea tomografică a fost concludentă. Ulterior, a urmat şi confirmarea serologică. Simptomele pacientei erau doar astenie marcată, ameţeli, somnolenţă. Saturaţia in oxigen 98%! Fără comorbidităţi!”, a scris medicul craiovean.
Medic: Este nevoie de un Registru National de semne si simptome tipice si atipice ale infecţiei cu noul coronavirus
Publicând cele două imagini, medicul a arătat ce modificări au suferit plămânii pacientei confirmate cu SARS-CoV-2. Fiecare fotografie a fost însoţită de explicaţii.


Medicul Andriţoiu consideră că autorităţile ar trebui să elaboreze un Registru Naţional în care să fie trecute inclusiv formele atipice ale Covid-19, pentru a putea fi ajutaţi toţi pacienţii.
„Concluzie: este nevoie de un Registru National de semne si simptome tipice si atipice ale infecţiei cu noul coronavirus! Definiţia de caz folosită în prezent este o aiureală!”, a spus medicul militar.
Actualitate
Blindate de top pentru Europa: Gigantul BAE Systems accelerează producția CV90, în ciuda retragerii Estoniei
Negocierile la nivel înalt pentru dotarea armatelor europene cu vehicule de luptă pentru infanterie intră într-o fază decisivă. În timp ce cinci națiuni europene își unifică forțele pentru o achiziție comună de blindate CV90, producătorul suedez BAE Systems Hägglunds își recalibrează strategia după ce Estonia a anunțat oficial că părăsește programul. Conducerea companiei dă însă asigurări că planurile de producție rămân pe o traiectorie ascendentă, impactul retragerii fiind considerat „marginal”.
Efect de bumerang: Retragerea Tallinnului accelerează livrările pentru ceilalți aliați
Decizia Estoniei de a prioritiza sistemele de apărare aeriană în detrimentul noilor blindate nu a provocat panică la sediul central din Örnsköldsvik. Din contră, oficialii BAE Systems susțin că acest pas înapoi va permite celorlalți clienți — Finlanda, Suedia, Norvegia, Lituania și Olanda — să primească vehiculele mai devreme decât era prevăzut. Deși Tallinnul va continua să își modernizeze flota actuală de 50 de unități, ieșirea din consorțiul de achiziție ar putea pune presiune pe prețul per unitate pentru restul partenerilor, negocierile urmând să fie finalizate până în toamna acestui an.
Investiții masive pentru o cadență de război: „Un blindat pe zi”
Pentru a răspunde cererii globale fără precedent, BAE Systems a demarat un plan de expansiune agresiv. Cu peste 300 de milioane de dolari deja investiți și o forță de muncă ce a explodat de la 750 la 2.600 de angajați în ultimii patru ani, compania se pregătește pentru o nouă infuzie de capital de 150 de milioane de dolari între 2026 și 2028. Obiectivul este clar: atingerea unei capacități de producție de un vehicul CV90 pe zi. Cu un portofoliu actual de 600 de unități și o prognoză de încă 500 prin noul program european, linia de asamblare va rămâne activă cel puțin până în anul 2032.
Lecția ucraineană: Blindate adaptate pentru era dronelor
Experiența de pe frontul din Ucraina a devenit un laborator de testare vital pentru inginerii suedezi. Cele 50 de vehicule donate de Suedia au demonstrat o protecție remarcabilă, oficialii companiei afirmând că, din datele lor, niciun militar nu și-a pierdut viața în interiorul unui CV90 în timpul luptelor. Totuși, realitatea crudă a „războiului dronelor” a forțat modernizări imediate. Noile configurații vor include sisteme avansate de protecție împotriva amenințărilor aeriene fără pilot, recunoscându-se faptul că generațiile anterioare erau vulnerabile în fața acestei noi tehnologii de combat.
Actualitate
Ambiții submerse: Programul de submarine AUKUS în fața unei crize de credibilitate și infrastructură
Parteneriatul strategic trilateral AUKUS, menit să redefinească echilibrul de forțe în regiunea Indo-Pacifică prin livrarea de submarine cu propulsie nucleară, traversează un moment critic. O serie de „deficiențe și eșecuri” sistemice amenință acum să deraieze unul dintre cele mai ambițioase proiecte de apărare din istoria recentă, punând sub semnul întrebării nu doar securitatea națională, ci și soliditatea alianței dintre Regatul Unit, SUA și Australia.
Șantiere în derivă: Veriga slabă a producției de elită
Punctul focal al îngrijorărilor se află la Barrow-in-Furness, unde șantierul naval BAE Systems, destinat construcției viitoarelor nave SSN-AUKUS, se confruntă cu întârzieri majore de investiții. Modernizarea infrastructurii este considerată vitală, însă orice amânare suplimentară ar putea genera un efect de domino asupra întregului calendar de livrare.
Fără o intervenție imediată în capacitățile de producție, promisiunea tehnologică a programului riscă să rămână un simplu proiect pe hârtie. Consecințele nu sunt doar logistice, ci și diplomatice, afectând direct încrederea partenerilor internaționali în capacitatea de execuție a Londrei.
Deriva politică și ceața financiară: Lipsa unei direcții clare
Pe lângă problemele tehnice, programul suferă din cauza unei aparente pierderi de entuziasm la nivelul conducerii politice britanice. Observatorii avertizează că „vizibilitatea” scăzută a guvernului central în promovarea acestui parteneriat a lăsat loc unei derive politice periculoase. Este necesară o asumare mai fermă a rolului de lider pentru a contracara incertitudinea care planează asupra proiectului.
Această incertitudine este amplificată de amânarea Planului de Investiții în Apărare (DIP), documentul strategic care ar fi trebuit să clarifice prioritățile de achiziție pentru următorul deceniu. Retragerea calendarului de publicare a acestui plan lasă semne de întrebare majore asupra finanțării pe termen lung, într-un context în care costul estimat al fiecărui submarin viitor se ridică la aproximativ 3,4 miliarde de dolari.
Flota actuală la limita rezistenței: Prețul mare al credibilității
Efortul de a menține aparențele unei prezențe globale constante exercită o presiune imensă asupra resurselor actuale. Submarinele din clasa Astute ale Marinei Regale sunt împinse dincolo de limitele lor operaționale pentru a onora angajamentele de rotație și vizite în porturile australiene.
Exemplul recent al unei nave forțate să își scurteze misiunea în Australia pentru a fi redeployată urgent în contextul conflictelor din Orientul Mijlociu subliniază o realitate crudă: disponibilitatea flotei este la un nivel critic de scăzut. Dacă infrastructura de mentenanță și suport nu va fi îmbunătățită într-un ritm accelerat, capacitatea de a asigura securitatea în zona Euro-Atlantică, respectând în același timp obligațiile AUKUS, va deveni o misiune imposibilă.
Actualitate
Viteza, noua armă strategică: Generalul Saltzman impune „soluția de 80%” în Space Force
Într-o mișcare ce semnalează o ruptură radicală de birocrația tradițională a achizițiilor militare, Generalul Chance Saltzman, șeful Operațiunilor Spațiale, a lansat un apel ferm către forțele sale pentru adoptarea unei dezvoltări incrementale. Mesajul este clar: Space Force trebuie să prioritizeze livrarea rapidă a „capabilităților minime viabile”, abandonând căutarea utopică a sistemului perfect în favoarea unor soluții imediate și funcționale. Deși autoritatea formală asupra bugetelor rezidă în ramura civilă a Departamentului Forțelor Aeriene, influența lui Saltzman ca lider de serviciu trasează noua direcție strategică pentru „Guardians”.
Imperfecțiunea calculată: Mai bine azi decât prea târziu
În cea mai recentă notă de comandă, datată 24 aprilie 2026, Generalul Saltzman a subliniat că întreaga arhitectură de apărare a SUA trece la un „regim de război”. În acest nou context, perfecționismul devine un inamic al eficienței. „O soluție de 80% aflată astăzi în mâinile luptătorilor este infinit mai valoroasă decât o soluție de 100% care sosește prea târziu”, a declarat Saltzman. Această filosofie transformă eșecurile tehnologice controlate din „erori” în „lecții necesare”, argumentând că asumarea unor riscuri calculate în faza de producție reduce, în final, riscul operațional pe câmpul de luptă.
Războiul împotriva „derapajului cerințelor”
Esența noii strategii constă într-o colaborare strânsă între cei care proiectează sistemele și cei care le operează. Saltzman cere eliminarea fenomenului de „requirements creep” – adăugarea continuă de noi cerințe tehnice care amână lansarea unui produs. În loc să aștepte îndeplinirea tuturor specificațiilor ideale, unitățile operaționale trebuie să accepte produse parțiale, dar utile, care vor fi îmbunătățite ulterior prin iterații succesive. Este o schimbare de mentalitate care impune un sentiment de urgență absolută în fața amenințărilor în continuă evoluție.
O forță de achiziții record pentru un buget de 33 de miliarde
Space Force deține în prezent cea mai mare concentrație de specialiști în achiziții dintre toate ramurile armatei americane, raportat la numărul total de personal. Cu un buget de aproape 33 de miliarde de dolari planificat pentru acest an, serviciul este poziționat să devină un motor al inovației rapide. Totuși, Saltzman avertizează că procesele care au funcționat în trecut nu mai sunt adecvate pentru viitor. Trecerea de la vechea paradigmă, unde operatorii refuzau orice sistem care nu era „perfect” de teamă că nu vor mai primi actualizări, la un model de dezvoltare continuă, este esențială pentru a menține supremația în spațiul cosmic.
-
Ancheteacum 3 zileFOTBAL PRINTRE GRATII ȘI DEFICIT DE PERSONAL: CUM AU DAT CU PICIORUL ÎN MINGE „SUPRAVIEȚUITORII” DE LA TÂRGȘORUL NOU
-
Exclusivacum 2 zileMarea „Spartaniadă” de la TCE Ploiești: Cum să păzești praful de pe tobă cu agenți „invizibili” și binecuvântarea binomului Nae-Zaharia
-
Exclusivacum 4 zileMarele „Kompromat” s-a fâsâit: Cum a reușit tripleta Dabija-Despescu-Dorobanțu să facă reclamă gratuită Sindicatului Diamantul
-
Exclusivacum 3 zileMIORIȚA DUPĂ GRATII ȘI DRAMA „OII HĂRȚUITE”: CUM SE JOACĂ DE-A VICTIMA O „VEDETĂ” DIN CURTEA PENITENCIARULUI PLOIEȘTI
-
Exclusivacum 2 zileVÂNĂTOAREA DE „IVANI” ÎN CURTEA MAI: Cum să fabrici un spion dintr-un polițist care știe să citească și nu are stăpân
-
Exclusivacum 2 zileEVANGHELIA DUPĂ BARBU: RACHETELE AU TĂCUT, GRÂUL A CRESCUT ȘI STATUL „POLIȚIST” A RĂMAS CU BUZA UMFLATĂ!
-
Exclusivacum 24 de oreOrizonturi încețoșate la IOR: Cum se lichidează industria de apărare sub „privirea oarbă” a turistului ministerial Ambrozie Darău
-
Exclusivacum 2 zileOPERAȚIUNEA „CUIBUL DE VIESPI”: Cum a fost amanetat Ministerul Economiei în timp ce ministrul Darău „elibera” Ucraina pe banii altora



